Опыт и классика ортопедии поставили жителя Еврейской автономной области на ноги
28.04.2026
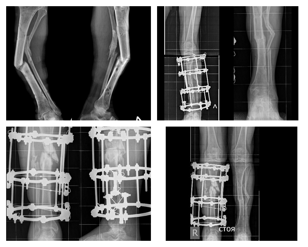
56-летний пациент из Биробиджана получил в дорожной аварии серьезную политравму обеих нижних конечностей. Лечение по месту жительства в 2023 году было связано с первичной хирургической обработкой ран и остеосинтезом голеней аппаратом Илизарова.
Однако лечение не принесло ожидаемых результатов, сращения переломов достичь не удалось. Постепенно сформировалась выраженная деформация обеих голеней более 45 градусов.
Мужчина был вынужден передвигаться на инвалидной коляске. Спустя год после аварии мужчина обратился за помощью в Центр Илизарова. С посттравматическими ложными суставами костей голеней его госпитализировали в Клинику реконструктивной хирургии повреждений нижних конечностей и таза. В отделение №3 накоплен колоссальный опыт лечения посттравматических дефектов и деформаций костей конечностей.
- Первым этапом мы по методу Илизарова исправили деформацию левой голени, достигли консолидации отломков в правильном положении. Вторым этапом уже в этом году выполнили корригирующую остеотомию костей правой голени и остеосинтез аппаратом Илизарова. Мы очень довольны результатом.
Восстановлена биомеханическая ось обеих нижних конечностей, пациент на период фиксации поехал домой, выполняя рекомендации врачей Центра Илизарова под наблюдением местных специалистов, - рассказал заведующий отделением №3 Центра Илизарова, к.м.н. Виталий Нарицын.
В данной ситуации метод Илизарова оказался мощным инструментом в решении сложной операционной задачи в совокупности с многолетним опытом, которым владеют специалисты Центра Илизарова.
Уже после первой операции в Кургане житель Еврейской АО передвигался на своих ногах с помощью костылей, а в после демонтажа аппарата на правой голени, сможет вернуть себе привычные навыки ходьбы без дополнительных средств опоры.
Политика о персональных данных
Положение о защите персональных данных пациентов
в ФГБУ «РНЦ «ВТО» им.акад. Г.А.Илизарова» Минздрава России
1. ОБЩИЕ ПОЛОЖЕНИЯ
1.1 Положение о защите персональных данных (далее – Положение) разработано в соответствии с Федеральным законом от 27.07.2006 N 152-ФЗ «О персональных данных» и определяет основные принципы обработки персональных данных.
1.2 Положение декларирует соответствие ФГБУ «РНЦ «ВТО» им.акад.Г.А.Илизарова» Минздрава России (далее – Центр) требованиям законодательства РФ к обработке персональных данных.
1.3 ФГБУ «РНЦ «ВТО» им.акад.Г.А.Илизарова» Минздрава России является оператором персональных данных и внесено в реестр операторов, осуществляющих обработку персональных данных.
1.4 Все работники, участвующие в обработке персональных данных, должны быть ознакомлены с Положением.
2. ОСНОВНЫЕ ПОНЯТИЯ
2.1 В Положении используются следующие понятия и определения:
- персональные данные – любая информация, относящаяся к определенному или определяемому на основании такой информации физическому лицу (субъекту персональных данных), в том числе его фамилия, имя, отчество, год, месяц, дата и место рождения, адрес, семейное, социальное, имущественное положение, образование, профессия, доходы, другая информация;
- обработка персональных данных – действия (операции) с персональными данными, включая сбор, систематизацию, накопление, хранение, уточнение (обновление, изменение), использование, распространение (в том числе передачу), обезличивание, блокирование, уничтожение персональных данных;
- информационная система персональных данных – информационная система, представляющая собой совокупность персональных данных, содержащихся в базе данных, а также информационных технологий и технических средств, позволяющих осуществлять обработку таких персональных данных с использованием средств автоматизации или без использования таких средств;
- обработка персональных данных без использования средств автоматизации (неавтоматизированная) – обработка персональных данных, содержащихся в информационной системе персональных данных либо извлеченных из такой системы, если такие действия с персональными данными, как использование, уточнение, распространение, уничтожение персональных данных в отношении каждого из субъектов персональных данных, осуществляются при непосредственном участии человека;
- оператор - государственный орган, муниципальный орган, юридическое или физическое лицо, организующие и (или) осуществляющие обработку персональных данных, а также определяющие цели и содержание обработки персональных данных;
3. ЦЕЛИ И ОСНОВАНИЯ ОБРАБОТКИ ПЕРСОНАЛЬНЫХ ДАННЫХ
3.1 Обработка персональных данных в ФГБУ «РНЦ «ВТО» им.акад.Г.А.Илизарова» Минздрава России осуществляется в целях оказания медицинских услуг населению.
3.2 Обработка персональных данных в ФГБУ «РНЦ «ВТО» им.акад.Г.А.Илизарова» Минздрава России осуществляется на основании:
- Федерального закона «Об основах охраны здоровья граждан в Российской Федерации» №323-ФЗ;
- Федерального закона «О защите прав потребителей»;
- Федерального закона «О персональных данных» от 27.07.2006г. № 152-ФЗ;
4. ПОРЯДОК ОБРАБОТКИ ПЕРСОНАЛЬНЫХ ДАННЫХ
4.1 Перечень обрабатываемых в ФГБУ «РНЦ «ВТО» им.акад.Г.А.Илизарова» Минздрава России персональных данных определяется приказом директором.
4.2 Получение персональных данных осуществляется от субъектов персональных данных на основании согласия (форма согласия приведена в приложении 1) или в рамках договоров, одной из сторон которых является субъект персональных данных.
4.3 Доступ к персональным данным имеют сотрудники ФГБУ «РНЦ «ВТО» им.акад.Г.А.Илизарова» Минздрава России, которые, в связи с исполнением своих должностных обязанностей, занимаются обработкой персональных данных. Перечень подразделений, сотрудники которых имеют доступ к персональным данным, утверждается приказом директора ФГБУ «РНЦ «ВТО» им.акад.Г.А.Илизарова» Минздрава России.
4.4 В ФГБУ «РНЦ «ВТО» им.акад.Г.А.Илизарова» Минздрава России персональные данные хранятся в бумажном и электронном виде в информационных системах персональных данных.
4.5 Обработка персональных данных в ФГБУ «РНЦ «ВТО» им.акад.Г.А.Илизарова» Минздрава России осуществляется как с использованием средств автоматизации, так и без использования таких средств.
4.6 Обработка персональных данных в ФГБУ «РНЦ «ВТО» им.акад.Г.А.Илизарова» Минздрава России включает: сбор, систематизацию, использование, хранение, передачу, обновление и уничтожение персональных данных.
4.7 При обработке персональных данных в ФГБУ «РНЦ «ВТО» им.акад.Г.А.Илизарова» Минздрава России соблюдаются следующие требования:
- хранение персональных данных осуществляется не дольше, чем этого требуют цели обработки или законодательство РФ;
- объем, характер и способы обработки персональных данных соответствуют заявленным целям;
- не допускается объединение созданных для несовместимых между собой целей баз данных информационных систем персональных данных;
- обрабатываемые персональные данные должны быть достоверными, а их объем должен быть достаточным для целей обработки;
- не допускается обработка персональных данных избыточных по отношению к целям обработки;
- в случае достижения целей обработки и истечении срока хранения, обработка персональных данных незамедлительно прекращается и персональные данные уничтожаются в срок, установленный законодательством РФ.
5. ОБРАБОТКА ПЕРСОНАЛЬНЫХ ДАННЫХ С ИСПОЛЬЗОВАНИЕМ СРЕДСТВ АВТОМАТИЗАЦИИ
5.1 Обработка персональных данных в информационных системах персональных данных с использованием средств автоматизации осуществляется в соответствии с Постановлением Правительства РФ от 1 ноября 2012 г. №1119 «Об утверждении требований к защите персональных данных при их обработке в информационных системах персональных данных».
5.2 Обработка персональных данных осуществляется в информационной системе «Самсон».
5.3 Информационные системы персональных данных ФГБУ «РНЦ «ВТО» им.акад.Г.А.Илизарова» Минздрава России классифицированы в соответствии с Постановлением Правительства РФ от 1 ноября 2012 г. №1119 «Об утверждении требований к защите персональных данных при их обработке в информационных системах персональных данных».
5.4 Требования к автоматизированной обработке персональных данных в информационных системах персональных данных устанавливаются внутренними организационно-распорядительными документами ФГБУ «РНЦ «ВТО» им.акад.Г.А.Илизарова» Минздрава России.
6. ОБРАБОТКА ПЕРСОНАЛЬНЫХ ДАННЫХ БЕЗ ИСПОЛЬЗОВАНИЯ СРЕДСТВ АВТОМАТИЗАЦИИ
6.1 Обработка персональных данных без использования средств автоматизации осуществляется в соответствии с Постановлением Правительства РФ от 15 сентября 2008 г. № 687 «Об утверждении Положения об особенностях обработки персональных данных, осуществляемой без использования средств автоматизации».
6.2 Без использования средств автоматизации обрабатываются персональные данные, содержащиеся в документах на бумажных носителях.
6.3 Использование, хранение и уничтожение документов, содержащих персональные данные, осуществляется в соответствии с установленным в ФГБУ «РНЦ «ВТО» им.акад.Г.А.Илизарова» Минздрава России порядком.
7. ЗАЩИТА ПЕРСОНАЛЬНЫХ ДАННЫХ
7.1 Защита ПДн обеспечивается ФГБУ «РНЦ «ВТО» им.акад.Г.А.Илизарова» Минздрава России в соответствии с требованиями законодательства РФ и нормативно-методическими документами ФСТЭК России и ФСБ России.
7.2 Приказом директора ФГБУ «РНЦ «ВТО» им.акад.Г.А.Илизарова» Минздрава России назначен сотрудник, ответственный за обеспечение безопасности персональных данных.
7.3 Мероприятия по обеспечению безопасности ПДн проводятся в соответствии с внутренними организационно-распорядительными документами ФГБУ «РНЦ «ВТО» им.акад.Г.А.Илизарова» Минздрава России.
7.4 Для защиты ПДн используются необходимые средства защиты информации, сертифицированные в системе сертификации средств защиты.
8. ПРАВА СУБЪЕКТА ПЕРСОНАЛЬНЫХ ДАННЫХ И ОБЯЗАННОСТИ ОПЕРАТОРА ПРИ ОБРАБОТКЕ ПЕРСОНАЛЬНЫХ ДАННЫХ
8.1 Субъекты персональных данных имеют права, определенные в главе 3 Федерального закона Российской Федерации от 27 июля 2006 г. № 152-ФЗ «О персональных данных».
8.2 ФГБУ «РНЦ «ВТО» им.акад.Г.А.Илизарова» Минздрава России как оператор персональных данных выполняет обязанности, определенные главой 4 Федерального закона Российской Федерации от 27 июля 2006 г. №152-ФЗ «О персональных данных».
9. ОТВЕТСТВЕННОСТЬ И ОБЯЗАННОСТИ СОТРУДНИКОВ
9.1 Работники ФГБУ «РНЦ «ВТО» им.акад.Г.А.Илизарова» Минздрава России при обработке ПДн должны руководствоваться Положением и другими организационно-распорядительным документами ФГБУ «РНЦ «ВТО» им.акад.Г.А.Илизарова» Минздрава России.
9.2 Работники ФГБУ «РНЦ «ВТО» им.акад.Г.А.Илизарова» Минздрава России, нарушившие требования законодательства РФ в области защиты ПДн и организационно-распорядительных документов ФГБУ «РНЦ «ВТО» им.акад.Г.А.Илизарова» Минздрава России, несут дисциплинарную, административную, гражданско-правовую и уголовную ответственность в соответствии с законодательством РФ.
Согласие
на обработку персональных данных
Я, обратившийся в ФГБУ «НМИЦ ТО имени академика Г.А. Илизарова» Минздрава России (г.. Курган, ул. М.Ульяновой, д.6) (далее – Оператор) за оказанием медицинской помощи, в соответствии с требованиями статьи 9 ФЗ от 27.07.2006 №152-ФЗ «О персональных данных», Федеральным законом от 21.11.2011 №323-ФЗ «Об основах охраны здоровья граждан в РФ» подтверждаю свое согласие на получение, хранение, комбинирование, уничтожение, уточнение, обработку и размещение Оператором моих и/или ребенка (лица, признанного недееспособным) персональных данных в автоматизированных информационных системах и на бумажных носителях Оператора, включающих:
фамилию, имя, отчество, месяц, дату и место рождения, пол, гражданство, место жительства, сведения о регистрации по месту жительства, месту проживания, дата регистрации, реквизиты документа, удостоверяющего личность (серия, номер, дата выдачи, наименование и код подразделения органа выдавшего документ), реквизиты полисов медицинского страхования, страховой номер индивидуального лицевого счета в Пенсионном фонде России (СНИЛС), анамнез, диагноз, сведения об организации, оказавшей медицинские услуги, вид оказанной медицинской помощи, сроки оказания медицинской помощи, объем оказанной медицинской помощи, результат обращения за медицинской помощью, серия и номер выданного листка нетрудоспособности (при наличии), сведения об оказанных медицинских услугах, примененные стандарты медицинской помощи, сведения о медицинском работнике или работниках, оказавших медицинскую услугу, номер телефона, электронный адрес в целях:
-установления медицинского диагноза, оказания медицинских и медико-социальных услуг;
- защиты моих прав на получение качественной медицинской помощи;
- осуществления контроля качества оказанных мне медицинских услуг, проведения медико-профилактических мероприятий;
- оплаты оказанных по программе обязательного и добровольного медицинского страхования медицинских услуг;
- ведения учета оказанной медицинской помощи;
- формирования медицинских статистических данных в формах медико-статистического наблюдения;
- обеспечения соблюдения законов РФ и иных нормативных правовых актов РФ.
Предоставляю Оператору право осуществлять при обработке моих персональных данных все действия (операции) или совокупность действий (операций), совершаемых с использованием средств автоматизации или без использования таких средств, с персональными данными, включая сбор, запись, сбор речевой информации в ходе приема, систематизацию, накопление, уточнение (обновление, изменение), извлечение, использование, передачу, обезличивание, блокирование, удаление, уничтожение персональных данных.
Оператор вправе обрабатывать мои персональные данные посредством внесения их в информационные хранилища (электронную базу данных, списки, реестры, регистры), а также учетные и отчетные формы в электронном и бумажном исполнении. Оператор вправе осуществлять обработку моих персональных данных централизованно в Единой государственной информационной системе в сфере здравоохранения, региональной информационной системе здравоохранения Курганской области.
Оператор имеет право получать и передавать мои персональные данные, в том числе содержащие сведения, составляющие врачебную тайну, с использованием средств автоматизации и без использования таких средств, на материальных носителях, в том числе в бумажном виде в следующие государственные органы, организации (учреждения):
- федеральному и территориальному фондам обязательного медицинского страхования;
- пенсионному фонду РФ, включая территориальные органы;
- страховым медицинским организациям, осуществляющим мое страхование;
- организациям (учреждениям), осуществляющим на законном основании обработку медико-статистической информации;
- органам управления здравоохранения РФ, органам управления здравоохранением Курганской области и органам управления здравоохранения РФ муниципальных образований,
- иным медицинским организациям РФ (регионального и федерального уровней) на законном основании осуществляющим свою медицинскую деятельность, для установления мне медицинского диагноза, определения тактики лечения и оказания медицинских и медико-социальных услуг, в медико-профилактических целях при условии, что обработка персональных данных осуществляется лицом, профессионально занимающимся медицинской деятельностью и обязанным в соответствии с законодательством РФ сохранять врачебную тайну.
Передача моих персональных данных иным лицам или иное их разглашение может осуществляться только с моего письменного согласия.
Настоящее согласие действует бессрочно, в случае если согласие не отозвано в письменной форме. Я оставляю за собой право отозвать свое согласие посредством составления соответствующего письменного заявления, которое может быть направлено в адрес Оператора по почте заказным письмом с уведомлением о вручении либо вручено лично под роспись представителю Оператора.
В случае получения моего письменного заявления об отзыве настоящего согласия на обработку персональных данных Оператор обязан прекратить их обработку в течение периода времени, необходимого для завершения взаиморасчетов по оплате оказанной мне до этого медицинской помощи и предоставления соответствующей медико-статистической информации.
Наш сайт обрабатывает файлы cookie (в том числе, файлы cookie, используемые «Яндекс-метрикой»).
Они помогают делать сайт удобнее для пользователей.
Нажав кнопку «Соглашаюсь», вы даете свое согласие на обработку файлов cookie вашего браузера.
Обработка данных пользователей осуществляется в соответствии с Политикой обработки персональных данных в Федеральным государственным бюджетным учреждением «Национальный медицинский исследовательский центр травматологии и ортопедии имени академика Г.А. Илизарова» Министерства здравоохранения Российской Федерации.
Политика обработки персональных данных в Федеральном государственном бюджетным учреждением «Национальный медицинский исследовательский центр травматологии и ортопедии имени академика Г.А. Илизарова» Министерства здравоохранения Российской Федерации Согласие на обработку данных пользователя сайтаПользователь, настоящим сообщением, проинформирован о необходимости прекратить использование Сайта или о необходимости отключить файлы Cookies в настройках браузера.
Политика обработки персональных данных
Положение о защите персональных данных пациентов в ФГБУ «РНЦ «ВТО» им.акад. Г.А.Илизарова» Минздрава России
1. ОБЩИЕ ПОЛОЖЕНИЯ
1.1 Положение о защите персональных данных (далее – Положение) разработано в соответствии с Федеральным законом от 27.07.2006 N 152-ФЗ «О персональных данных» и определяет основные принципы обработки персональных данных.1.2 Положение декларирует соответствие ФГБУ «РНЦ «ВТО» им.акад.Г.А.Илизарова» Минздрава России (далее – Центр) требованиям законодательства РФ к обработке персональных данных.
1.3 ФГБУ «РНЦ «ВТО» им.акад.Г.А.Илизарова» Минздрава России является оператором персональных данных и внесено в реестр операторов, осуществляющих обработку персональных данных.
1.4 Все работники, участвующие в обработке персональных данных, должны быть ознакомлены с Положением.
2. ОСНОВНЫЕ ПОНЯТИЯ
2.1 В Положении используются следующие понятия и определения:- персональные данные – любая информация, относящаяся к определенному или определяемому на основании такой информации физическому лицу (субъекту персональных данных), в том числе его фамилия, имя, отчество, год, месяц, дата и место рождения, адрес, семейное, социальное, имущественное положение, образование, профессия, доходы, другая информация;
- обработка персональных данных – действия (операции) с персональными данными, включая сбор, систематизацию, накопление, хранение, уточнение (обновление, изменение), использование, распространение (в том числе передачу), обезличивание, блокирование, уничтожение персональных данных;
- информационная система персональных данных – информационная система, представляющая собой совокупность персональных данных, содержащихся в базе данных, а также информационных технологий и технических средств, позволяющих осуществлять обработку таких персональных данных с использованием средств автоматизации или без использования таких средств;
- обработка персональных данных без использования средств автоматизации (неавтоматизированная) – обработка персональных данных, содержащихся в информационной системе персональных данных либо извлеченных из такой системы, если такие действия с персональными данными, как использование, уточнение, распространение, уничтожение персональных данных в отношении каждого из субъектов персональных данных, осуществляются при непосредственном участии человека;
- оператор - государственный орган, муниципальный орган, юридическое или физическое лицо, организующие и (или) осуществляющие обработку персональных данных, а также определяющие цели и содержание обработки персональных данных;
3. ЦЕЛИ И ОСНОВАНИЯ ОБРАБОТКИ ПЕРСОНАЛЬНЫХ ДАННЫХ
3.1 Обработка персональных данных в ФГБУ «РНЦ «ВТО» им.акад.Г.А.Илизарова» Минздрава России осуществляется в целях оказания медицинских услуг населению.3.2 Обработка персональных данных в ФГБУ «РНЦ «ВТО» им.акад.Г.А.Илизарова» Минздрава России осуществляется на основании:
- Федерального закона «Об основах охраны здоровья граждан в Российской Федерации» №323-ФЗ;
- Федерального закона «О защите прав потребителей»;
- Федерального закона «О персональных данных» от 27.07.2006г. № 152-ФЗ;
- Постановления Правительства РФ от 1 ноября 2012 г. №1119 «Об утверждении требований к защите персональных данных при их обработке в информационных системах персональных данных».
4. ПОРЯДОК ОБРАБОТКИ ПЕРСОНАЛЬНЫХ ДАННЫХ
4.1 Перечень обрабатываемых в ФГБУ «РНЦ «ВТО» им.акад.Г.А.Илизарова» Минздрава России персональных данных определяется приказом директором.4.2 Получение персональных данных осуществляется от субъектов персональных данных на основании согласия (форма согласия приведена в приложении 1) или в рамках договоров, одной из сторон которых является субъект персональных данных.
4.3 Доступ к персональным данным имеют сотрудники ФГБУ «РНЦ «ВТО» им.акад.Г.А.Илизарова» Минздрава России, которые, в связи с исполнением своих должностных обязанностей, занимаются обработкой персональных данных. Перечень подразделений, сотрудники которых имеют доступ к персональным данным, утверждается приказом директора ФГБУ «РНЦ «ВТО» им.акад.Г.А.Илизарова» Минздрава России.
4.4 В ФГБУ «РНЦ «ВТО» им.акад.Г.А.Илизарова» Минздрава России персональные данные хранятся в бумажном и электронном виде в информационных системах персональных данных.
4.5 Обработка персональных данных в ФГБУ «РНЦ «ВТО» им.акад.Г.А.Илизарова» Минздрава России осуществляется как с использованием средств автоматизации, так и без использования таких средств.
4.6 Обработка персональных данных в ФГБУ «РНЦ «ВТО» им.акад.Г.А.Илизарова» Минздрава России включает: сбор, систематизацию, использование, хранение, передачу, обновление и уничтожение персональных данных.
4.7 При обработке персональных данных в ФГБУ «РНЦ «ВТО» им.акад.Г.А.Илизарова» Минздрава России соблюдаются следующие требования:
- хранение персональных данных осуществляется не дольше, чем этого требуют цели обработки или законодательство РФ;
- объем, характер и способы обработки персональных данных соответствуют заявленным целям;
- не допускается объединение созданных для несовместимых между собой целей баз данных информационных систем персональных данных;
- обрабатываемые персональные данные должны быть достоверными, а их объем должен быть достаточным для целей обработки;
- не допускается обработка персональных данных избыточных по отношению к целям обработки;
- в случае достижения целей обработки и истечении срока хранения, обработка персональных данных незамедлительно прекращается и персональные данные уничтожаются в срок, установленный законодательством РФ.
5. ОБРАБОТКА ПЕРСОНАЛЬНЫХ ДАННЫХ С ИСПОЛЬЗОВАНИЕМ СРЕДСТВ АВТОМАТИЗАЦИИ
5.1 Обработка персональных данных в информационных системах персональных данных с использованием средств автоматизации осуществляется в соответствии с Постановлением Правительства РФ от 1 ноября 2012 г. №1119 «Об утверждении требований к защите персональных данных при их обработке в информационных системах персональных данных».5.2 Обработка персональных данных осуществляется в информационной системе «Самсон».
5.3 Информационные системы персональных данных ФГБУ «РНЦ «ВТО» им.акад.Г.А.Илизарова» Минздрава России классифицированы в соответствии с Постановлением Правительства РФ от 1 ноября 2012 г. №1119 «Об утверждении требований к защите персональных данных при их обработке в информационных системах персональных данных».
5.4 Требования к автоматизированной обработке персональных данных в информационных системах персональных данных устанавливаются внутренними организационно-распорядительными документами ФГБУ «РНЦ «ВТО» им.акад.Г.А.Илизарова» Минздрава России.
6. ОБРАБОТКА ПЕРСОНАЛЬНЫХ ДАННЫХ БЕЗ ИСПОЛЬЗОВАНИЯ СРЕДСТВ АВТОМАТИЗАЦИИ
6.1 Обработка персональных данных без использования средств автоматизации осуществляется в соответствии с Постановлением Правительства РФ от 15 сентября 2008 г. № 687 «Об утверждении Положения об особенностях обработки персональных данных, осуществляемой без использования средств автоматизации».6.2 Без использования средств автоматизации обрабатываются персональные данные, содержащиеся в документах на бумажных носителях.
6.3 Использование, хранение и уничтожение документов, содержащих персональные данные, осуществляется в соответствии с установленным в ФГБУ «РНЦ «ВТО» им.акад.Г.А.Илизарова» Минздрава России порядком.
7. ЗАЩИТА ПЕРСОНАЛЬНЫХ ДАННЫХ
7.1 Защита ПДн обеспечивается ФГБУ «РНЦ «ВТО» им.акад.Г.А.Илизарова» Минздрава России в соответствии с требованиями законодательства РФ и нормативно-методическими документами ФСТЭК России и ФСБ России.7.2 Приказом директора ФГБУ «РНЦ «ВТО» им.акад.Г.А.Илизарова» Минздрава России назначен сотрудник, ответственный за обеспечение безопасности персональных данных.
7.3 Мероприятия по обеспечению безопасности ПДн проводятся в соответствии с внутренними организационно-распорядительными документами ФГБУ «РНЦ «ВТО» им.акад.Г.А.Илизарова» Минздрава России.
7.4 Для защиты ПДн используются необходимые средства защиты информации, сертифицированные в системе сертификации средств защиты.
8. ПРАВА СУБЪЕКТА ПЕРСОНАЛЬНЫХ ДАННЫХ И ОБЯЗАННОСТИ ОПЕРАТОРА ПРИ ОБРАБОТКЕ ПЕРСОНАЛЬНЫХ ДАННЫХ
8.1 Субъекты персональных данных имеют права, определенные в главе 3 Федерального закона Российской Федерации от 27 июля 2006 г. № 152-ФЗ «О персональных данных».8.2 ФГБУ «РНЦ «ВТО» им.акад.Г.А.Илизарова» Минздрава России как оператор персональных данных выполняет обязанности, определенные главой 4 Федерального закона Российской Федерации от 27 июля 2006 г. №152-ФЗ «О персональных данных».
9. ОТВЕТСТВЕННОСТЬ И ОБЯЗАННОСТИ СОТРУДНИКОВ
9.1 Работники ФГБУ «РНЦ «ВТО» им.акад.Г.А.Илизарова» Минздрава России при обработке ПДн должны руководствоваться Положением и другими организационно-распорядительным документами ФГБУ «РНЦ «ВТО» им.акад.Г.А.Илизарова» Минздрава России.9.2 Работники ФГБУ «РНЦ «ВТО» им.акад.Г.А.Илизарова» Минздрава России, нарушившие требования законодательства РФ в области защиты ПДн и организационно-распорядительных документов ФГБУ «РНЦ «ВТО» им.акад.Г.А.Илизарова» Минздрава России, несут дисциплинарную, административную, гражданско-правовую и уголовную ответственность в соответствии с законодательством РФ.
Согласие на обработку данных пользователя сайта
Продолжая работу с сайтом ilizarov.ru, вы даете согласие на автоматизированную обработку ваших данных Федеральным государственным бюджетным учреждением «Национальный медицинский исследовательский центр травматологии и ортопедии имени академика Г.А. Илизарова» Министерства здравоохранения Российской Федерации (файлы cookie, содержащие информацию о ваших прошлых посещениях ilizarov.ru, сайты (запросы), с которых вы перешли на сайт ilizarov.ru, присвоенные идентификаторы (ID), IP-адрес, сведения о местоположении, тип устройства, дата и время сессии, сведения о действиях на сайте), в том числе с использованием метрических программ Яндекс.Метрика, которые могут размещать на вашем устройстве файлы cookie и использовать ваши данные на условиях, определенных операторами таких сервисов.
Обработка cookies на основании настоящего согласия осуществляется Федеральным государственным бюджетным учреждением «Национальный медицинский исследовательский центр травматологии и ортопедии имени академика Г.А. Илизарова» Министерства здравоохранения Российской Федерации в целях улучшения функционирования сайта.
Настоящее согласие действует с момента его предоставления и в течение всего периода использования сайта.
В случае отказа от обработки данных вы проинформированы о необходимости прекратить использование сайта или отключения файлов cookie в настройках браузера.
