В рамках приоритетного нацпроекта «Продолжительная и активная жизнь» в Центре Илизарова совершенствуется система диагностики заболеваний и опасных осложнений.

Недавний клинический случай позволил перевернуть представление пациента о своем состоянии здоровья. 

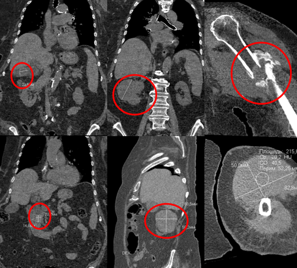
92-летняя женщина обратилась к рентгенологам Центра Илизарова с жалобами на сильные боли в плечевом суставе на фоне перелома плечевой кости.

Обследование на ультрасовременном оборудовании показало помимо перелома плечевой кости – образование в почке, камни холедоха и желчного пузыря.

- Велика вероятность, что перелом плечевой кости был патологическим на фоне метастатического поражения. Результаты обследования позволяют нам предполагать, что у пациентки рак почки, - рассказал заведующий рентгеновским отделением Центра Илизарова, д.м.н. Константин Дьячков.

С результатами пациентку направили для дальнейшего обследования к онкологам. Современное оборудование позволяет выявить жизнеугрожающие состояния на ранней стадии, поэтому так важно вовремя проходить диспансеризацию и диагностику экспертного уровня.

Записаться на экспертную диагностику в Центре Илизарова (УЗИ, КТ, МРТ) можно по телефону: 8(3522) 45-37-49.